水溶性羧基化CdSe/ZnS量子点介绍
发布时间:2021-10-26     作者:ssl   分享到:
一.产品介绍
水溶性ZnCdS/ZnS量子点产品是以ZnCdS为核心,ZnS为壳层,表面由亲水配体包裹的核/壳型荧光纳米材料,平均的量子产率为50%,储存时应避免阳光直射,4度密封暗处保存,可以为客户订制生产400nm~480nm任一波长的产品。本产品具有粒径均一,吸收光谱宽泛,发射光谱窄而对称,荧光强度高而稳定等特点。
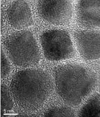
TEM测试图


二.量子点简介
量子点作为一种新型的荧光材料,与传统的有机染料荧光物质相比,具有连续的激发光谱、窄的发射光谱、荧光寿命长、稳定性高、并且通过调节粒径大小和化学组成可以发射不同颜色的荧光等优点。
发射峰:460-650 nm
半峰宽:<30 nm
量子产率:>85 %
表面基团:十八胺(或客户配体)
溶剂:甲苯(或客户溶剂)
(图片注释)
A量子点的吸收光(实线为油溶性量子点,虚线为水溶性量子点)
B量子点的荧光光错(实线为油溶性量子点,虚线为水溶性量子点)
C波长分别为550nm,580nm,620nm的量子点照片紫外光照射下,下层为仿,上层为水
相关产品:
Zn2+掺杂碳量子点
CdSe/ZnS高量子产率高稳定性量子点(油溶性)
CdSe/ZnS高产率高稳定量子点(油溶性)
量子点防伪油墨
全光谱钙钛矿量子点溶液
InP-ZnS量子点
推不同尺寸钙钛矿单晶
油相 CdSe量子点溶液
油相CdSe/CdS量子点溶液
油相CdSe/ZnS量子点溶液
LED用量子点
以上资料来自齐岳小编ssl 2021.10.26




齐岳微信公众号
官方微信
库存查询